Dermatología
Tratamientos dermatológicos a medida para cada tipo de piel
Diagnóstico Dermatológico en Madrid
Nuestro objetivo en Clínica Roiz es mejorar la calidad de vida de nuestros pacientes cuidando la salud y belleza de la piel a través de un enfoque integral de la dermatología, abarcando todas sus etapas: prevención, diagnóstico, tratamiento y seguimiento de las enfermedades cutáneas.
Nuestro equipo de dermatólogos en Tres Cantos combina experiencia médica, tecnología de última generación y un trato cercano.
Tratamos todo tipo de afecciones cutáneas analizando la necesidad de cada paciente y cada tipo de piel de forma personalizada.
Dr. Waseem Shams Romani
Horario: Jueves por la tarde
Especialidades y Tratamientos Clínicos, Estéticos y Pedriátricos
01.
Dermatología Clínica
Tratamientos para Enfermedades de la Piel
Si sufres de acné, psoriasis, rosácea, dermatitis o infecciones cutáneas, en Clínica Roiz te ofrecemos diagnósticos precisos y tratamientos eficaces.
- Acné y cicatrices – Tratamientos personalizados para pieles jóvenes y adultas.
- Psoriasis y eczema – Terapias innovadoras para reducir síntomas y mejorar la calidad de vida.
- Control de lunares y detección precoz de cáncer de piel – Revisión con dermatoscopia digital.
02.
Dermatología Estética
Rejuvenece y Cuida tu Piel
La salud de tu piel es fundamental, pero también su aspecto. Nuestros especialistas en dermatología estética te ofrecen:
- Eliminación de manchas y cicatrices.
- Tratamientos antiarrugas y flacidez.
03.
Dermatología Pedriática
Cuidado de la Piel en Niños
Los más pequeños también pueden sufrir enfermedades dermatológicas como:
- Dermatitis atópica infantil – Tratamiento especializado para pieles sensibles.
- Infecciones cutáneas y verrugas – Diagnóstico y solución sin dolor.
- Alergias cutáneas y urticaria – Evaluaciones personalizadas para cada caso.
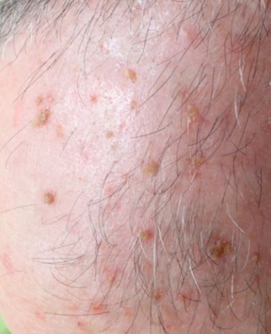
No cubierto por aseguradoras
Eliminación de lesiones cutáneas benignas
Despídete de las pequeñas imperfecciones que no te representan.
En Clínica Roiz eliminamos de forma rápida, precisa y segura diferentes lesiones cutáneas benignas, recuperando la uniformidad y luminosidad natural de tu piel.
Porque no todas las marcas cuentan una historia bonita. Algunas simplemente están de más.

Angiomas y puntos rubí
Pequeñas lesiones vasculares que alteran la homogeneidad de la piel.

Fibromas blandos (acrocordones)
Bultitos inofensivos que suelen aparecer en cuello, axilas o párpados.

Queratosis seborreica y nevus epidérmico superficial
Manchas o placas rugosas que cambian la textura cutánea.

Siringomas y quistes de mili
Pequeñas protuberancias, especialmente en el contorno de ojos y rostro.
Precios de consultas y tratamientos
Consulta Dermatología
Evaluación completa de piel, cabello y uñas-
Examen clínico detallado
-
Revisión de antecedentes dermatológicos
-
Planificación del tratamiento
Eliminación de lesiones cutáneas benignas*
Eliminación precisa y segura de angiomas, puntos rubí, fibromas blandos, queratosis seborreicas, siringomas y milia.-
Valoración dermatológica inicial
-
Procedimiento adaptado a cada lesión
-
Cuidados posteriores personalizados
Revisión Dermatología
Seguimiento tras la consulta inicial y control periódico de lunares y lesiones cutáneas-
Reevaluación de resultados
-
Ajuste del tratamiento según evolución
-
Recomendaciones personalizadas para el día a día
Crioterapia
Tratamiento con nitrógeno líquido para eliminar verrugas, queratosis y otras lesiones-
Valoración médica previa
-
Aplicación del tratamiento en consulta
-
Sesión rápida y mínimamente invasiva
Confia en Clínica Roiz para el cuidado de tu piel
Equipo Médico de Dermatología
👨⚕️ Dr. Wasseem Shams Romani
- Médico especialista en Dermatología Médico-Quirúrgica
- Médico colegiado en el Ilustre Colegio Oficial de Médicos de Madrid (ICOMEM) Nº 282869352
- Miembro de la Academia Europea de Dermatología (EADV) desde 2008
- Profesor de Dermatología en la Universidad San Pablo CEU
- Más de 20 años de experiencia en el diagnóstico y tratamiento de enfermedades de la piel
Preguntas Frecuentes sobre Dermatología en Clínica Roiz
¿Aceptáis seguros médicos?
No aceptamos seguros médicos para la especialidad de dermatología. Para el resto de especialidades si aceptamos.
¿Cómo puedo pedir una cita con un dermatólogo en Clínica Roiz?
Puedes solicitar una cita a través de nuestro WhatsApp (681 043 955)
¿Cuánto dura una consulta de dermatología?
Las consultas suelen durar entre 20 y 30 minutos, dependiendo del tipo de evaluación y tratamiento que necesites.
¿Cuánto cuesta una consulta de dermatología?
El precio varía según el tipo de consulta. Consulta nuestras tarifas más arriba.
¿Cómo puedo saber si un lunar o mancha es peligrosa?
Si notas cambios en su forma, color, tamaño o bordes irregulares, es recomendable una revisión dermatológica.